LINE相談は
こちら
LINE相談は
こちら

症例紹介

60代・男性/匿名

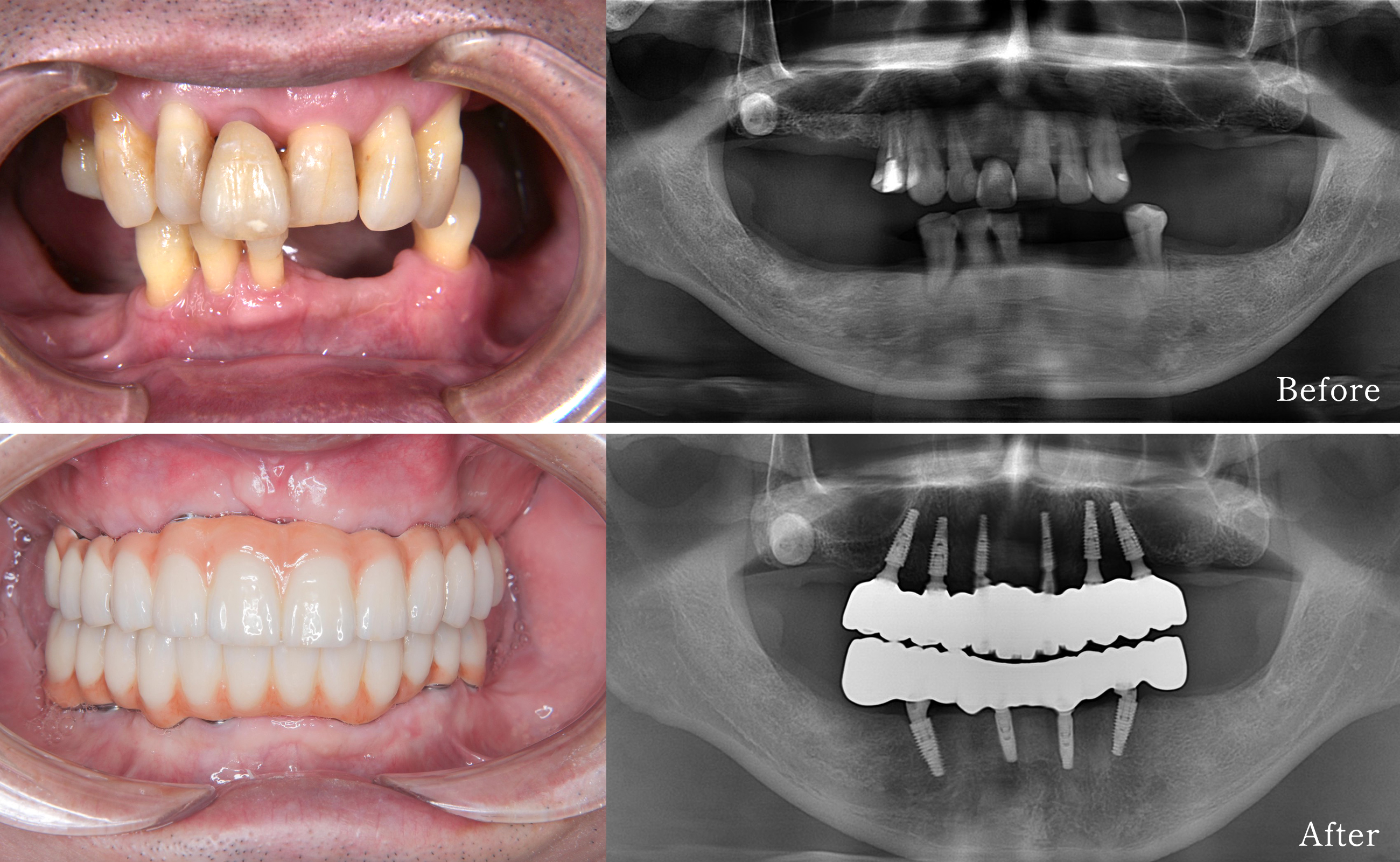
上顎ALL‑ON‑6+下顎ALL‑ON‑4(ガイデッドサージェリーを併用)による咬合回復の症例紹介

今回は、上下顎のかみ合わせや食事でお困りだった60代の男性の症例についてご紹介します。上顎はALL‑ON‑6(6本のインプラントで上顎の補綴を支持する方法)、下顎はALL‑ON‑4(4本のインプラントで下顎の補綴を支持する方法)を組み合わせて治療を行いました。患者さまの書面による同意を得たうえで、診査・治療の流れや経過、考慮した点をわかりやすく解説します(写真掲載は同意取得済みです)。

来院時の状況と主訴

来院時の主訴は「入れ歯が合わず硬い物が食べにくい」「義歯の外れや擦れがあり外出に気を使う」とのことでした。長年の義歯使用と抜歯の繰り返しにより多数歯を失っており、特に上顎の骨吸収が見られました。全身状態は大きな問題はなく、現在の服薬や既往歴を確認したうえで治療方針を検討しました。

診査・診断

初診で口腔内写真、パノラマレントゲン、歯科用CT(CBCT)を撮影し、骨量・骨質、残存歯の状態、上顎洞や下顎管の位置を評価しました。診査の結果、上顎は広範囲の欠損があり安定した支持が求められるためALL‑ON‑6を検討、下顎は前方部の骨量が比較的良好であったためALL‑ON‑4が選択肢に適すると判断しました。治療方針は複数の選択肢を提示し、利点・リスク・費用・期間について十分に説明したうえで、患者さまと相談して決定しました。

ガイデッドサージェリー(サージカルガイド)の採用について

本症例では、埋入位置の精度と安全性向上を目的にガイデッドサージェリー(サージカルガイド)を併用しました。術前にCT画像を用いて埋入計画を立て、専用ガイドを作製して手術に使用します。ガイドは埋入の精度を高め、術中の手順を効率化する一助となりますが、すべての症例で使用できるわけではなく、術者の判断や骨の状態等により適用を見合わせる場合もあります。

治療計画のポイント

上顎(ALL‑ON‑6):上顎の骨形態に応じた埋入を行い、補綴設計を踏まえた位置決めを重視しました。
下顎(ALL‑ON‑4):下顎前方の骨を活用し、後方は傾斜埋入で下顎管を避ける設計としました。
術前管理:感染源(残存歯のう蝕・歯周炎)の処置、口腔衛生の改善、必要に応じた内科的連携を行いました。

治療の流れ(概要)

術前処置:必要な抜歯や歯周治療を行い、口腔内を整えたうえでCTを用いた埋入計画とガイドの作製を行いました。

上顎ALL‑ON‑6一次手術:サージカルガイドに従って6本のインプラントを埋入し、術後の状態に応じて仮歯を装着しました。

下顎ALL‑ON‑4一次手術:4本のインプラントを計画通りに埋入し、必要に応じて仮歯での咀嚼補助を行いました。

治癒期間と経過観察:術後は定期的な診察とレントゲンで骨結合の経過を確認しました。術後の痛みや腫れ、出血等については処方薬と指示により管理しました。

最終補綴と咬合調整:ヒーリングや型取りの後、最終補綴を装着して咬合調整を行い、機能回復とメンテナンス計画を立てました。

治療期間・通院回数の目安:治療全体でおおむね8〜12か月、通院回数は術前処置を含めて10〜15回程度が目安です。個々の状態や追加処置の必要性により前後することがあります。

費用(本症例の目安)

上顎ALL‑ON‑6(ガイデッドサージェリーを含む、埋入・仮歯・最終補綴):税込3,850,000円(目安)
下顎ALL‑ON‑4(埋入・仮歯・最終補綴):税込3,300,000円(目安)
※補綴仕様や素材、追加処置の有無により費用は変動します。正確な見積りは診査後に提示します。
術後の経過と患者さまの経過観察
術後は一時的な痛みや腫れが認められましたが、処方薬や生活指導で数日〜1週間程度で落ち着きました。仮歯装着後は患者さまご自身での食事や会話のしやすさが改善したとの報告があり、日常生活の質が向上したと感じていただけました。長期的な経過観察と定期的なメンテナンスを継続して行っています。

合併症・リスクとその対応

インプラント治療には次のようなリスクがあり、術前に説明し同意を得ています。

感染や創部のトラブル:感染徴候があれば速やかに診察・処置を行います。

インプラント周囲炎:日常のブラッシング不良や不適切なメンテナンスで起こることがあり、定期的な専門クリーニングで予防します。

下顎神経損傷:下顎では神経損傷のリスクを低減するためCTを用いた計画と慎重な埋入を行います。万が一異常があれば適切に対処します。

補綴トラブル:破損や緩みが生じる可能性があり、その場合は補修・再装着で対応します。

これらについては術前に十分に説明し、術後も定期的にフォローして早期発見・早期対応を行います。

インプラントの長期的な維持には、日々のセルフケア(ブラッシング・フロッシング等)と定期的な専門的ケアが欠かせません。当院では、セルフケア指導と定期メンテナンスプランを個別に作成し、長く使えることを目指してサポートします。

症例からのまとめ

ALL‑ON治療は多くのケースで有効な選択肢ですが、すべての方に適するわけではありません。個別の診査と説明が必要です。
ガイデッドサージェリーは精度や効率の向上に寄与しますが、万能ではなく術者の判断や個々の口腔状態を踏まえた適用が必要です。
治療の成果は術者の技術だけでなく、患者さま自身の日々のケアや定期的な診察に大きく左右されます。
患者さまからの一言(抜粋)
「食事をまた楽しめるようになりました。外出時の不安が減り、本当に助かりました。」

最後に(受診・相談のご案内)

本症例は説明目的のための紹介であり、具体的な治療の可否や費用・期間は個別の診査・診断が必要です。ALL‑ON治療やガイデッドサージェリーに興味がある方は、まずは診察と検査で適応を評価し、詳細な説明と見積りを受けてください。お気軽にご相談ください。

よくあるご質問

オープン前に相談できますか?

オープン前は準備中ですが、詳細が決まり次第ウェブでご案内します。見学会や無料相談会を開催する場合は事前に告知しますので、ご希望の方はサイトやSNSで情報をお待ちください。

インプラントはどのくらい痛いですか?

個人差はありますが、局所麻酔を使うことで手術中の痛みはほとんど感じにくくなります。術後の痛みは鎮痛薬でコントロール可能な場合が多く、痛みを抑える方法を丁寧に説明します。

持病があっても受けられますか?

基本的に可能な場合が多いですが、持病の種類や状態によっては注意が必要です。主治医と連携して安全に配慮しながら治療計画を立てます。

つむぎ歯科医院の外観