LINE相談は
こちら
LINE相談は
こちら

症例紹介

60代・男性/匿名

上の総入れ歯と、下の2本インプラントで支えるロケーターデンチャー治療

(※掲載内容は患者様の同意を得ています。個人を特定できる情報や写真は含みません)

ご来院のきっかけ

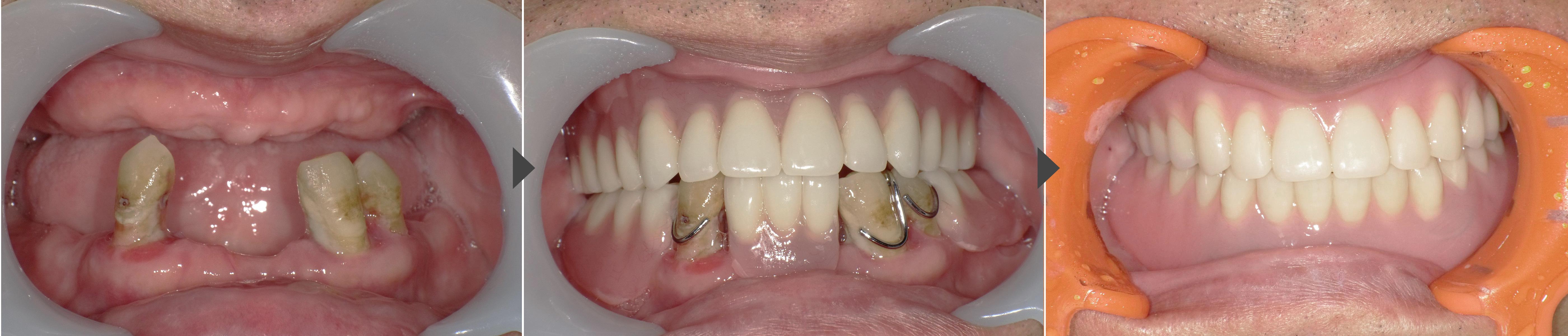
患者様は、下あごに3本の歯が残っていましたが、ぐらつきが強く、しっかり噛むことができない状態でした。
上あごはすでに総入れ歯を使用されており、「入れ歯が浮いて外れる」「噛みづらい」「もっと安定した入れ歯にしたい」というお悩みをお持ちでした。

診査・診断の結果

• 上あご:すでに無歯顎(歯がない状態)で、総入れ歯が必要
• 下あご:残っている3本の歯は重度の歯周病で保存が難しく、抜歯が必要
• CT検査:前歯のあたり(犬歯間)の骨は十分に残っており、インプラント2本の埋入が可能
この結果から、「上は総入れ歯、下は2本のインプラントで支える入れ歯(ロケーターデンチャー)」という治療方針をご提案しました。

治療計画

噛み合わせ(顎の位置)を安定させるため、まず治療用の仮入れ歯を作りました。この仮入れ歯を使って咬み合わせの高さや口元のバランスを確認し、手術の際もこの顎位を維持できるよう準備しました。
そのうえで、手術当日に残っている歯を抜歯し、同じ日にインプラントを2本埋め込み、ロケーター(金具)を装着して入れ歯を固定する「即時荷重」を行いました。
これにより、手術当日から入れ歯を使用しながら生活ができるようにしました。

治療の流れ

① 治療用義歯の作成

術前に仮の入れ歯を作り、咬み合わせと見た目を整えて顎の位置を安定させます。

② 抜歯とインプラント埋入(同日)

下あごの残存3本の歯を抜歯し、そのままの部位に2本のインプラントを即時埋入しました。手術時間は約1時間程度で、出血や腫れも少なく経過しました。

③ ロケーター装着・即時荷重

手術当日にロケーターアバットメントを取り付け、治療用義歯を内側から調整。その場でインプラントに適合させることで、当日からしっかり噛める状態を確保しました。

④ 経過観察と最終義歯の作製

3か月ほど経過を観察し、インプラントが骨と安定的に結合したことを確認。その後、見た目・咬み合わせ・発音などをさらに整えた最終のロケーターデンチャーを作りました。

治療の結果

• 入れ歯が動かず、しっかり噛めるようになった

• 発音しやすく、会話中も安心

• 義歯の取り外し・清掃も簡単で、日常生活が快適になった

• 手術当日から入れ歯を使いながら食事・会話が可能だった

患者様からは「しっかり固定されて安心」「痛みがなく噛めるようになった」とお喜びの声をいただきました。

ロケーターデンチャーとは?

ロケーターデンチャーは、少数のインプラントで入れ歯を固定する方法です。インプラントの上に小さな金具(ロケーター)を取り付け、入れ歯の内側にその金具と合うパーツを埋め込むことで、「カチッ」と固定されます。

メリット

• 入れ歯が動かず、安定してしっかり噛める

• フルインプラントよりも負担が少なく、費用を抑えられる

• 取り外して清掃できるため衛生的

注意点

• 清掃不良により炎症を起こす場合があるため、毎日のケアが大切です

• 留め具(キャップ)は摩耗するため、定期的な交換が必要です

• 骨の状態や全身の健康状態によっては適応とならない場合があります

費用と期間(自由診療)

• 下あごロケーターデンチャー(インプラント2本+義歯一式) ¥1,210,000(税込)

治療期間:約3〜6か月(個人差あり)
※保険適用外の自由診療です。
※診査・診断・CT撮影費などは別途必要となる場合があります。

治療の安全性について

この治療は、日本口腔インプラント学会および日本補綴歯科学会が定める「即時荷重インプラント」「インプラントオーバーデンチャー」の臨床指針に基づき実施しました。
即時荷重は、骨の状態や咬み合わせの力を慎重に評価し、初期固定が十分に得られる症例に限定して行っています。

参考文献

Feine JS et al., J Dent Res. 2002;81(3):201–205
日本口腔インプラント学会「即時荷重インプラント治療の臨床指針」
日本補綴歯科学会「インプラントオーバーデンチャー臨床指針」

まとめ

今回の症例では、治療用義歯であごの位置を安定させたうえで、抜歯と同時にインプラントを埋め込み、ロケーターを即時装着しました。
手術当日から入れ歯を使えるようにすることで、見た目や咬み合わせを保ちながら、早期に快適な咀嚼機能を回復できました。「入れ歯が合わない」「動いて痛い」「インプラント固定式までは望まない」という方に、ロケーターデンチャーは現実的で安心できる選択肢です。

ご相談について

つむぎ歯科医院では、入れ歯やインプラント義歯に関する無料相談を行っています。CT撮影を用いて骨の状態を確認し、最適な治療方法をご提案いたします。

つむぎ歯科医院の外観